Röntgendiagnostik

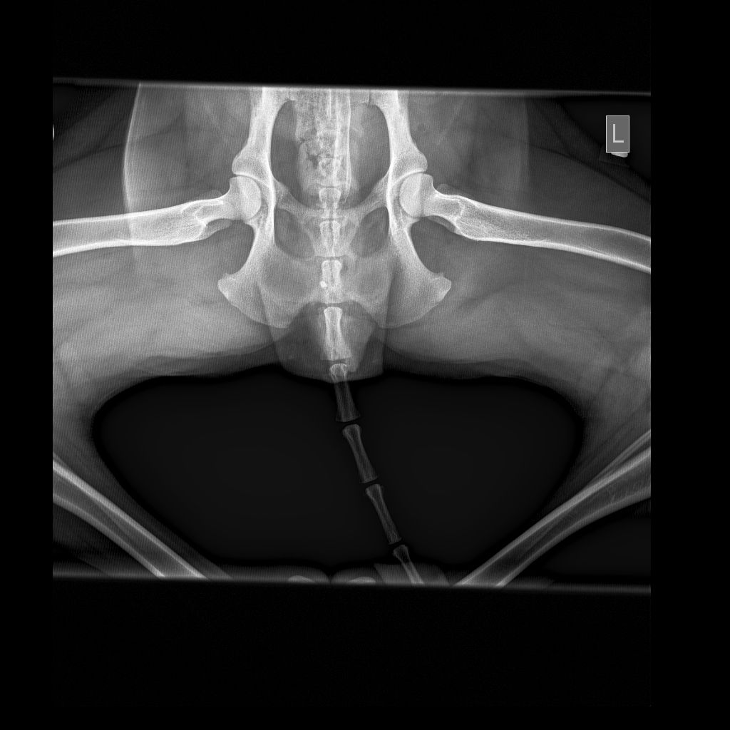
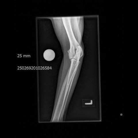
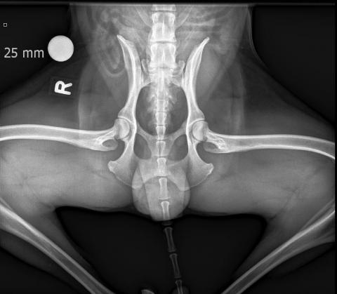
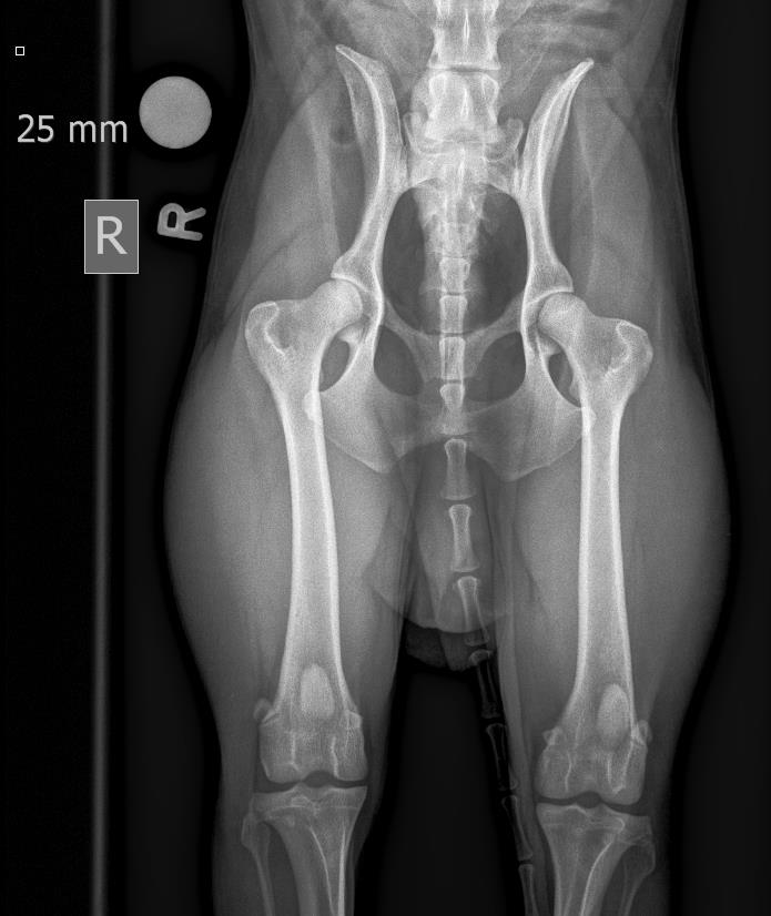
Mittels unserer modernen, digitalen Röntgenanlage sind wir in der Lage alle anfallenden Untersuchungen so strahlenschonend wie möglich durchzuführen.Selbstverständlich erhalten Sie auf Wunsch, die Röntgenbilder als CD mit nach Hause. Wir führen sämtliche standartmässigen Untersuchungen durch:

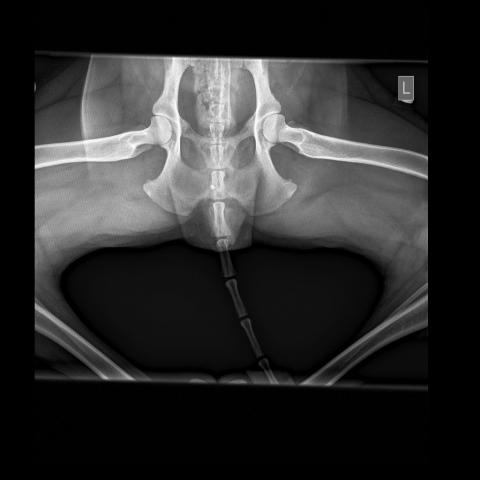
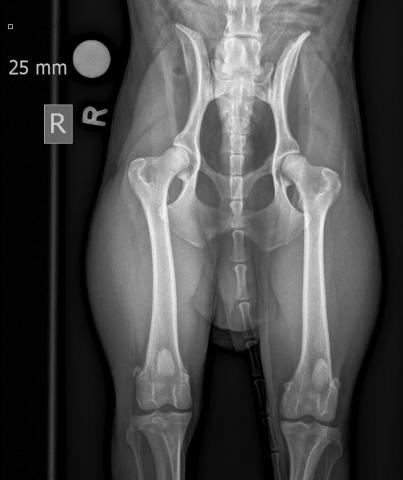
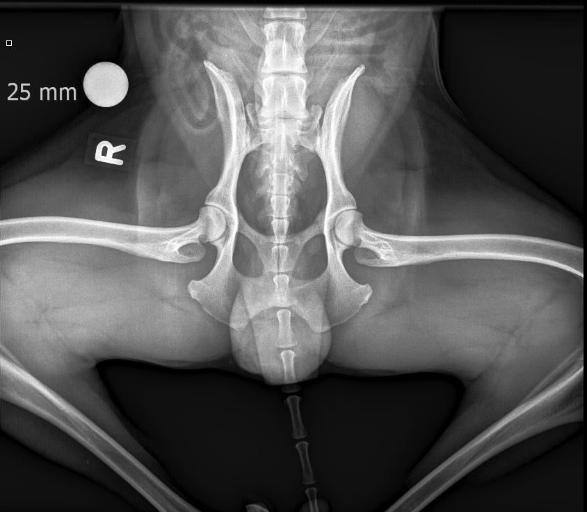
  • HD Abklärungen

  • ED Abklärungen

  • Abdominal- und Thoraxröntgen

  • Trächtigkeitsuntersuchungen

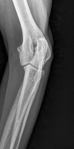
  • Frakturbeurteilung

HD und ED Beurteilungen werden nach Wunsch des Besitzers oder nach Vorgaben der Rasseklubs jeweils von der HD-Kommission in Zürich oder Bern beurteilt. Für unsere deutschen Kunden ist auch ein Versand nach Deutschland möglich

Wir verwenden Cookies um unsere Website zu optimieren und Ihnen das bestmögliche Online-Erlebnis zu bieten. Mit dem Klick auf „Erlauben“ erklären Sie sich damit einverstanden.